AI-based technology on x-rays
AI-based technology on x-rays

Insight

AI-based algorithm in chest radiographs will enable quicker and more consistent diagnosis

Insight

AI-based algorithm in chest radiographs will enable quicker and more consistent diagnosis

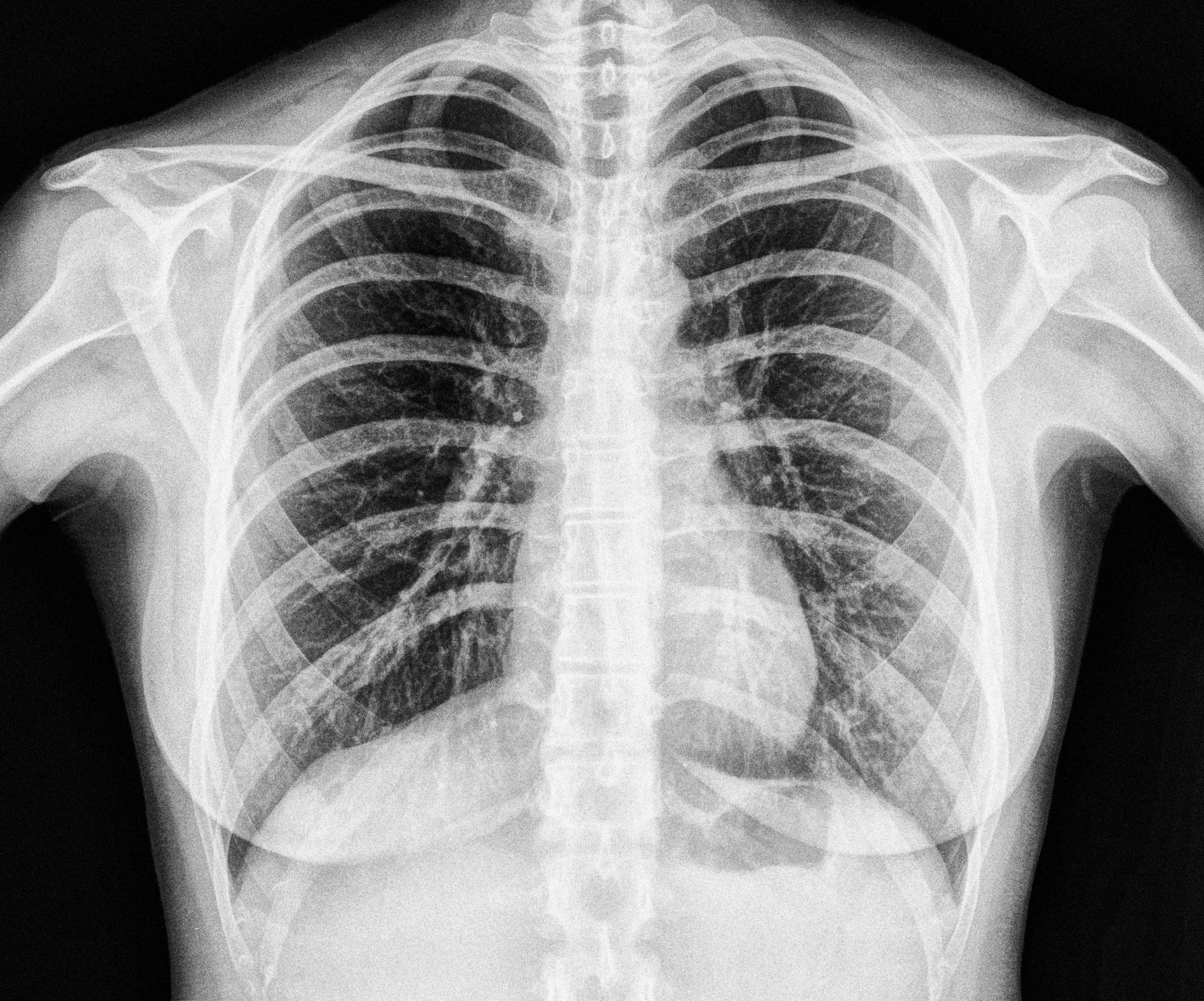
Several Danish hospitals and the American start-up company Enlitic have recently teamed up in a private-public partnership to evaluate an AI-based algorithm in reading chest x-rays. The medical software has been trained on American, Canadian, Japanese and Australian chest radiographs and it is the first time it will be tested and partly implemented in a Nordic country. 

When

Over the last two decades, medical imaging technology has become more precise and accessible. Radiology is increasingly becoming a key function of modern medicine, helping to guide diagnostics, treatment, and prognosis. However, the growing use of medical imaging also has its challenges. Since the volume of imaging has increased rapidly and the number of radiologists has plateaued, a status quo has emerged characterized by growing workloads for overburdened physicians and subsequent bottlenecks. 

Enlitic is a pioneer in medical deep learning that leverages its proprietary algorithms that quickly and accurately improve healthcare diagnosis by pairing radiologists with data scientists and engineers, thereby collecting and analyzing some of the most comprehensive clinical data globally.

The Copenhagen-based hospitals (Herlev/Gentofte, Bispebjerg/Frederiksberg hospitals) and Enlitic have teamed up in a private-public partnership to evaluate an AI-based algorithm in reading chest x-rays. The medical software has been trained on North-American, Japanese and Australian chest radiographs and it is the first time it will be tested in a Nordic country. After the validation process, the algorithm will be implemented in the Nordic setting, for a limited period, to showcase how medical AI will affect the workflow of the Nordic healthcare providers in terms of speed, efficacy and medical decision making.

By collaborating with Enlitic, we get access to new, prosperous medical software and a possibility to drive the development in a direction interesting for us. However, this collaboration is not just about AI describing conventional radiographs of i.e. the chest. It is just as much about understanding how the technology will actually transform our workflow when getting decision-making support from a software tool. We need to work closely with the software developers if we want an excellent software, adjusted to our Nordic healthcare system. A positive side effect from this collaboration is that the digital skills of our staff will be strengthened and we will be able to design our workflow in a safe test environment rather than implementing AI on a larger scale too quickly, without progressively developing the right skills.

Michael Brun Andersen

Head of Research, Consultant Thoracic Radiologist

At the Copenhagen-based hospitals chest radiographs are by far the most frequent images produced in the wards. Since the introduction of digital radiography more than 20 years ago, the appearance of ordinary radiographs of the chest has not changed much and the size and quality of the Danish databases have grown successively. Taken this into account, introducing AI-based software in chest x-rays readings is thus an obvious application area, as AI requires homogeneous training data sets.

By implementing the AI solution for reading Chest radiographs from Enclitic, our radiologists are expected to get more time for vital tasks, become more efficient, potentially shorten the time of hospitalization for our patients, and increase the level of imaging interpretation skills of non-specialist healthcare providers

Michel Nemery

Head of Radiology Department, Herlev/Gentofte hospital

“Denmark’s health system is one of the most advanced and technologically forward-thinking in the world. The culture and infrastructure for healthcare analytics that others are attempting to implement today have been the standard practice in Denmark for nearly 20 years. We are excited for the opportunity to work with Danish hospitals and radiologists to help inform the impact AI will bring to Denmark, the Nordic region, and Europe as a whole.” 

Kevin Lyman

CEO of Enlitic

A strong life sciences cluster

Home to one of the strongest life sciences clusters in the world, Denmark is a respected international health laboratory. The key to that reputation is the close collaboration between public and private partners across science, education and regulatory affairs. Additionally, Denmark is one of the world’s top locations for tech activities, featuring an excellent test market with access to world-class software development talent pools.

Radiologic Artificial Intelligens Testcenter (RAIT)

Given the prospects of AI’s strengths in analyzing visual images, Denmark is ambitious in adopting more AI technologies within radiology. The before mentioned Danish radiology departments in the capital region of Denmark have founded a Radiology AI-test center (RAIT) that contains all relevant specialties to validate, test and clinically implement AI technology.
 
The idea and ambition is to roll out the RAIT strategy to the rest of Denmark’s departments of radiology in a joint venture and to welcome more private companies to test and validate new AI-based technologies in Denmark. All algorithms, developed outside Denmark, should be tested in a Danish clinical setting to avoid e.g. bias, unforeseen ethical dilemmas etc. Simultaneously, the Enlitic-Smartchest projects within chest radiographs, the Danish radiologist in RAIT and Radiobotics, have also received funding from the same national Danish AI Strategy. Radiobotics is a Danish startup focusing on developing and implementing AI algorithms for reading conventional radiographs of joints and bones, starting with osteoarthritis of the knee.
 
In addition the RAIT group is testing software from i.e. Siemens - AI Rad companion for detecting free air in the abdomen and lung nodules in chest CT scans and testing AI algorithms from the Danish startup company Cerebriu aiming to use AI to improve MRI imaging of the brain. 
"With the RAIT center, we aim at being a national Danish and potential Nordic reference site for clinical studies and innovation within the cross field of radiology and AI-based technology. In the near future, we hopefully will be able to offer all projects, taken place at RAIT, access to one grand data pool with past and future radiological and imaging data while respecting both GDPR and patient data security. We aim to be the frontrunners in this field in the Nordics." 

Mikael Boesen

Professor at Department of Radiology Bispebjerg and Frederiksberg Hospital

Get in touch

Want to know more about AI in Life Sciences in Denmark?

Please contect our dedicated advisors here: